YouTube
고덕퍼스트치과
유튜브 영상
치료 과정과 치과 정보를
영상으로 확인하세요
영상 준비 중
영상 준비 중
Clinical Results
충치 치료 임상,
과정부터 완성까지
진단부터 마무리까지 단계별로
실제 치료 과정을 확인하세요
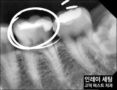
기존 인레이 변연 부적합으로 발생한 2차 우식을 제거하고 트리오스5 스캔으로 새 인레이 재제작
치료 전 상태 확인

기존 인레이 주변으로 경계 불량과 변색이 육안으로 확인됩니다. 하부에 2차 우식이 진행 중인 상태입니다.
엑스레이 진단

엑스레이상 인레이 변연부의 불량이 명확히 보입니다. 경계 틈새로 충치균이 침투해 2차 우식이 형성되어 있습니다.
기존 인레이 제거 및 모양 형성

불량 인레이를 완전히 제거하고 2차 우식까지 깨끗이 삭제합니다. 새 인레이 제작을 위한 치아 형태를 정밀하게 형성합니다.
트리오스5 구강 스캔 채득

3Shape 트리오스5로 형성된 치아를 디지털 스캔합니다. 끈적한 인상재 없이 초정밀 3D 데이터를 획득합니다.
새 세라믹 인레이 장착 완료

스캔 데이터로 제작된 세라믹 인레이를 장착합니다. 경계면이 치아에 완벽하게 밀착되어 재발 위험이 최소화됩니다.
치료 후 엑스레이 확인

치료 후 엑스레이에서 인레이 변연부가 치아에 완전히 적합된 것이 확인됩니다. 틈새 없이 밀착되어 있습니다.
모든 케이스는 고덕퍼스트치과 실제 임상입니다. 트리오스5 구강 스캐너로 정밀 채득하고, 통합치의학과 전문의가 직접 진료합니다.
Clinical Column
원장이 직접 기록한
충치 치료 이야기
가장 좋은 치료는 정확한 진단에서 시작됩니다.
실제 사례를 통해 치료 과정을 투명하게 공개합니다.
옆면 충치, 세라믹 인레이로 치료
어금니 초기 충치 레진 치료
아말감 2차 우식 인레이 치료
충전물 탈락 옆면 우식 인레이 치료
깨진 치아 세라믹 인레이 치료
네이버 블로그에서 전체 칼럼 보기
“
이렇게 꼼꼼하게 봐주는 치과가 있을 줄 몰랐어요
고덕퍼스트치과 실제 내원 환자 후기
충치 치료는 제거 이후가 더 중요합니다
형태·교합·색상까지 섬세하게 완성합니다
치료 방법과 장비
상태에 맞는 치료법을 선택하고
정밀한 장비로 완성도를 높입니다
충치 치료
초기 충치 치료
큐레이 진단으로 숨은 충치까지 발견
레진 치료
자연 치아와 동일 색상으로 심미적 복원
인레이 · 온레이
넓은 충치도 발치없이 정밀 보존 치료
신경 치료
통증 완화
심한 치통 제거로 편안한 일상 회복
치아 보존
발치없이 자연 치아 살리기
정밀 신경 치료
통합치의학과 전문의 직접 집도
전문 장비

큐레이 진단 장비
무해한 가시 광선으로
숨은 충치 발견

트리오스5 구강 스캐너
최신 디지털 스캐너로
불편한 본뜨기 없이 정밀 채득
끈적한 인상재 없이 초고속 3D 스캔
디지털 데이터로 더 정밀한 보철물 제작
충치 제거 직후 바로 스캔해 맞춤 제작
편안한 치료 경험, 오차 최소화
트리오스5는 3Shape의 최신형 구강 스캐너로, 수분이 있는 환경에서도 정밀하게 치아 형태를 채득할 수 있습니다. 인레이·온레이·크라운 치료 시 훨씬 정확하고 편안한 치료가 가능합니다.
트리오스5 디지털 스캔으로
더 정밀하게
불편한 본뜨기 없이 3D 스캔으로
인레이·크라운을 맞춤 제작합니다

트리오스5 구강 스캐너
3Shape의 최신 구강 스캐너로 끈적한 인상재 없이 초고속 3D 스캔이 가능합니다
수분이 있는 구강 환경에서도 오차 없이 치아 형태를 정확하게 채득하여 더욱 잘 맞는 인레이를 제작합니다

치료 직후 바로 스캔
충치 제거 및 모양 형성이 완료되면 바로 구강 스캔을 시행합니다
스캔 데이터를 전문 기공소로 전송하여 정밀하게 맞춤 제작된 인레이를 완성합니다
불편한 본뜨기 없음
끈적한 인상재 대신 초고속 3D 스캔으로 편안하게 치아 형태를 채득합니다
정밀한 맞춤 보철
디지털 데이터 기반으로 오차를 최소화한 인레이를 제작합니다
검증된 전문 기공소
원장이 직접 엄선한 전문 기공소에서 고품질 세라믹 보철물을 제작합니다
치과 치료,
아프지 않을까요?
의식하진정요법으로
자면서 치료받으세요
의식하진정요법이란?
약간 졸린 듯한 상태에서 시술을 받게 되고, 시술하는 동안 일어난 일들을 잘 기억하지 못하게 되는 치료법입니다.
의식이 있는 상태에서 편안하게 긴장상태를 풀어주기 때문에 치료 중에도 자신의 상태를 표현하고 반응할 수 있어 그만큼 안전합니다.
안전성
의식이 유지된 상태에서 시술
전문의가 혈압, 맥박, 산소포화도 체크
세계적으로 인정된 약물 사용
전신마취가 아니므로 후유증과 부작용이 현저히 낮음
언제든 깨어날 수 있게 해주는 역전약물 구비
치과치료 중 공포와 불안으로 인한 갑작스러운 움직임을 미연에 방지
편안함
간단한 주사로 진정요법이 가능
시술이 끝나면 시술 중 편안한 느낌만 남음
편안하고 안정된 기억만 남아 치과치료에 자신감이 생김
비용 부담이 적고 간단하게 시술 가능
💡 아무나 할 수 없는 특별한 치료
의식하진정요법은 단순한 치료가 아닙니다. 전문 교육을 이수한 의료진과 환자 모니터링 장비, 응급장비 등이 갖춰진 치과에서만 시행할 수 있는 전문적인 치료법입니다.

환자 모니터링 장비
마취 진행 과정
도포/가글마취
마취 전 주사 바늘의 통증을
없애기 위한 표면 마취
통증완화 전동마취기
컴퓨터가 자동으로 주입 속도를 조절하여
통증을 최소화
신경관마취기
신경 가까이 직접 마취하여
완벽한 통증 완화 치료 완성
통합치의학전문의 이동현 원장
고덕퍼스트치과
최고의 의료진

이동현
대표원장치의학 석사
통합치의학과 전문의(보건복지부 인증)
- 조선대학교 치과병원 외래교수
- 서울대학교 치의학대학원 임플란트 치의학 우수상 수료
- 서울대학교 치의학대학원 고급치의학 수료
- 서울 경기고등학교 졸업
- 경기고등학교 동문치과
- 대한통합치의학 학회 정회원
- 오스템, 포인트, 덴티스 임플란트 연구자문위원
- Pennsylvania univ. 근관치료과정 수료
- ATC Implant Advanced 과정 수료
- KAYA 치과병원 Prosthetic Course 수료
- JPDA 소아치과 임상연수회 수료
- 턱관절장애교육연구회 수료
- 전) 이편한세상치과 원장
- 전) 퍼스트인치과 원장

고덕퍼스트치과가
최고인 이유
1
보건복지부 인증
통합치의학과 전문의
대표원장이 직접 상담, 수술, 사후관리까지 책임집니다

2
오스템, 포인트, 덴티스
임플란트 연구자문위원
국내 대표 임플란트 기업의 연구자문위원으로 활동하며
최신 기술과 장비를 직접 활용합니다

3
최신 디지털 장비 완비
3D CT, 디지털 스캐너, 디지털 가이드 수술 시스템 등
최첨단 장비로 정밀한 진료를 제공합니다




병원 시설








경기 평택시 고덕로 250 에듀스카이 4층 401, 402호
진료시간
예약 문의
하단 버튼을 통해 AI 예약, 전화 상담, 또는 네이버 예약을 이용하실 수 있습니다.
자주 묻는 질문
다른 곳에서 발치하라는데 살릴 수 있나요?
네, 가능성이 높습니다. 고덕퍼스트치과는 통합치의학전문의가 정밀 진단합니다. 일반 치과에서 보이지 않던 살릴 방법을 찾을 수 있으며, 자연치아를 살리는 것을 최우선으로 합니다. 정밀 진단 후 최선의 방법을 안내해 드립니다.
신경치료, 아프지 않나요?
최신 통증 완화 마취 시스템으로 통증을 최소화합니다. 불안하신 분은 의식하진정요법(수면마취)으로 편안하게 시술받으실 수 있습니다. 통합치의학전문의의 정밀한 치료로 재발과 부작용을 최소화하며, 치료 후 지속적으로 관리해 드립니다.
충치 치료, 시간이 오래 걸리나요?
초기 충치는 레진 치료로 빠르게 완료되며, 넓은 충치는 인레이 시스템으로 치료가 가능합니다. 신경치료가 필요한 경우 2-3회 내원이 필요하지만, 정밀 치료로 치료 횟수를 최소화합니다. 개인의 구강 상태에 따라 정확한 기간을 안내해 드립니다.
큐레이 충치 발견이 무엇인가요?
큐레이는 특수 광학 기술로 육안으로 보이지 않는 초기 충치까지 정확히 발견하는 최신 장비입니다. 초기에 발견하면 간단한 치료로 끝낼 수 있어 비용과 시간을 절약할 수 있습니다. 고덕퍼스트치과에서는 정기 검진 시 큐레이를 활용하여 충치를 조기에 발견합니다.
충치 치료, 보험 적용되나요?
네, 대부분의 충치 치료는 건강보험이 적용됩니다. 레진 치료, 신경치료, 크라운 등 기본 치료는 보험 혜택을 받으실 수 있으며, 인레이/온레이는 본인 부담이 발생할 수 있습니다. 초진 시 정확한 비용과 보험 적용 여부를 상세히 안내해 드립니다.