From the Doctor
잇몸만 잘 관리해도
자연 치아, 평생 쓸 수 있습니다
임플란트를 받으러 오시는 환자분들을 뵐 때마다 마음이 무거워집니다.
대부분은 치아 자체가 나빠서가 아닙니다. 잇몸을 제때 관리하지 못해서 결국 뽑을 수밖에 없게 된 경우가 훨씬 더 많습니다.
잇몸 치료는 아프고 귀찮다고 미루기 쉽습니다. 하지만 1년에 한 번 스케일링, 이상이 느껴질 때 바로 내원하는 것만으로도 자연 치아를 20~30년 더 쓸 수 있습니다.
임플란트가 아무리 좋아도, 자연 치아를 이기는 보철물은 없습니다.
이동현 원장
통합치의학과 전문의 · 고덕퍼스트치과 대표원장
1년 1회
스케일링만 해도 심혈관 질환 위험 14% 감소
80%
성인의 잇몸 질환 보유 — 대부분 자각 증상 없음
3배
치주염 방치 시 임플란트가 필요해질 위험
잇몸질환,
입안 문제로 그치지 않습니다
전신 건강에 심각한 영향을 미치는
잇몸질환의 위험성
80
%
성인 잇몸 질환 보유율
대한치주과학회 2024
14
% 감소
스케일링 시 심혈관질환 감소
분당서울대병원 2024
6
배
치주염 시 혈당 조절 실패
가톨릭대 의대 2023
Health Warning
잇몸병은 입안에만
머물지 않습니다
잇몸 속 세균은 혈관을 타고 전신으로 퍼져
생각보다 훨씬 심각한 질환을 유발합니다.
심혈관계 질환 위험 3배↑
잇몸 속 치주균이 혈관으로 침투해 혈관벽에 염증을 일으키고 혈전 생성을 촉진합니다. 연구에 따르면 잇몸 질환이 있는 경우 심근경색 위험이 최대 2.8배, 뇌졸중 위험이 16% 이상 높아집니다. 반대로 정기적인 스케일링만으로도 심장 질환 위험을 10~14% 낮출 수 있다고 보고됩니다.
심근경색 위험 2.8배 증가
뇌졸중 위험 16% 감소 (연 1회 스케일링 시)
심장 검진 시 구강 검진 병행 권고
출처 : 분당서울대병원 연구팀 2024 · 미국심장협회(AHA) 2020
당뇨 합병증 진행 2배↑
잇몸 염증은 인슐린 저항성을 높여 혈당 조절을 방해하는 악순환을 만듭니다. 치주염이 있으면 HbA1c 수치 조절이 어려워지고, 반대로 당뇨가 있으면 잇몸 치료 효과도 낮아집니다. 치주 치료만으로 HbA1c가 0.4% 감소했다는 임상 연구도 있습니다.
혈당 조절 실패 가능성 6배 증가
HbA1c 0.4% 감소 (치주 치료 시)
당뇨 합병증 진행 속도 2배 빠름
출처 : 가톨릭대 은평성모병원 2023 · 대한당뇨병학회
치매 발생 위험 70%↑
치주균 중 Porphyromonas gingivalis가 혈뇌장벽을 통과해 뇌 안으로 유입되면 베타아밀로이드 축적을 가속화합니다. 알츠하이머 환자의 뇌 조직에서 이 치주균의 독소가 발견되었으며, 10년 이상 잇몸 질환을 방치했을 때 치매 위험이 유의미하게 증가하는 것으로 보고됩니다.
알츠하이머 환자 40%에서 치주균 독소 발견
10년 이상 방치 시 치매 위험 70%↑
조기 잇몸 관리로 뇌 건강 보호 가능
출처 : 하버드대 칸타르시 박사팀 2024 · Journal of Neuroinflammation
조산 및 저체중아 출산 7배↑
잇몸의 염증 매개 물질인 프로스타글란딘이 혈액을 통해 태반으로 전달되면 조기 진통을 유발할 수 있습니다. 임신 중 잇몸 관리가 소홀해지기 쉬운 만큼, 임신 계획 전·임신 초기에 잇몸 상태를 반드시 점검받는 것이 권고됩니다.
조산 위험 7배 증가
저체중아(2kg 미만) 출산 2배 증가
임신 중 잇몸 치료 건강보험 적용
출처 : 미국·유럽 치주학회
연 1회 스케일링만으로도
심혈관 질환 위험을 14% 낮출 수 있습니다.
스케일링은 건강보험 적용 — 1년에 한 번은 반드시 챙기세요.
Our Philosophy
잇몸 치료를 적극적으로
권하는 치과가
진정성 있는 치과입니다
임플란트가 아무리 좋아도 자연 치아를 이길 수 없습니다.
자연 치아를 지켜내는 것이 가장 좋은 치료입니다.
왜 많은 병원이 잇몸 치료를 꺼릴까요?
발치 후 임플란트가 수익성이 훨씬 더 높음
잇몸 치료로 치아를 살려봤자 임플란트 시술비를 받을 수 없습니다.
시간·노력 대비 건강보험 수가가 낮음
잇몸 치료는 세밀하고 시간이 많이 걸리지만 수익이 적어 병원에서 꺼리게 됩니다.
치료 후에도 관리가 필요해 결과가 불확실함
환자의 꾸준한 협조 없이는 재발이 쉬워, 치료 결과에 대한 부담이 큽니다.
고덕퍼스트치과가 잇몸 치료를 고집하는 이유
자연 치아 보존이
항상 1순위여야 합니다
조금 불편하고 귀찮더라도 치아를 지켜드리는 것이 환자에게도, 저희에게도 최선의 치료입니다. 잇몸 치료를 받고 치아를 오래 쓰시는 분들을 볼 때 가장 보람됩니다.
통합치의학과 전문의 직접 진료
잇몸 상태를 정밀하게 진단하고, 치료 계획부터 마무리까지 직접 담당합니다.
4단계 통증 완화 마취 시스템
가글 마취 → 도포 마취 → 전동마취기 → 신경관마취기. 잇몸 치료의 불편함을 최대한 줄입니다.
정기 관리 프로그램
치료 이후에도 3~6개월 주기 점검으로 재발을 예방하고 치아 수명을 늘립니다.
Care Levels
양치질만으로는
부족할 때가 있습니다
잇몸 건강은 단계별로 관리해야 합니다.
스케일링과 잇몸 치료, 모두 건강보험이 적용됩니다.
양치질
치아 표면과 잇몸선 위쪽의 치태·세균막을 제거합니다. 올바른 칫솔질은 잇몸 질환 예방의 첫 번째 단계이며, 하루 2회 이상 실천해야 효과적입니다.
치은연하(잇몸 속 깊은 곳)의 치석은 칫솔로 제거가 불가능합니다.
스케일링
치은연상(잇몸 위쪽)에 굳어 붙은 치석과 치태를 초음파 장비로 제거합니다. 스케일링 한 번으로 심혈관 질환 위험을 10~14% 낮출 수 있다는 연구 결과가 있습니다. 만 19세 이상이라면 연 1회 건강보험이 적용됩니다.
치은연하(잇몸 깊숙한 곳)까지는 스케일링만으로 닿기 어렵습니다.
만 19세 이상 · 연 1회 · 건강보험 적용 (본인 부담 20%)
잇몸 치료
잇몸 깊숙한 치주낭 속에 자리잡은 치석과 세균을 큐렛(치주 치료기구)으로 정밀하게 제거하고, 치근 표면을 매끄럽게 다듬어 세균이 다시 붙지 않도록 합니다. 필요 시 페리오클린 항생 연고를 치주낭에 직접 주입하여 세균을 추가로 제거합니다. 이 과정은 건강보험 적용이 되며, 진행 정도에 따라 1~4구역으로 나눠 진행합니다.
잇몸 치료 후 3~6개월 주기 정기 검진을 통해 재발을 예방합니다.
건강보험 적용 · 구역별 진행 · 마취 포함
건강보험 안내
스케일링과 잇몸 치료,
모두 건강보험 됩니다
비용 부담이 크지 않으니, 증상이 없어도 1년에 한 번은 스케일링을 받고 잇몸 상태를 점검받으세요. 진행 초기에 발견할수록 치료가 훨씬 간단하고 비용도 적게 듭니다.
스케일링
만 19세 이상 · 연 1회 · 본인 부담 약 20%
치주 치료 (잇몸 치료)
치주염 진단 시 · 구역별 보험 적용 · 마취 포함
페리오클린 치료
치주낭 깊이에 따라 급여 적용 가능
잇몸 상태 상담 예약하기
고덕퍼스트치과의
잇몸 치료 시스템

NSK varios 970 특수 장비
일본 NSK사의 최신 초음파 스케일러로 잇몸 깊숙한 세균까지 정밀하게 제거
iPiezo 엔진 : 자동 주파수 조절로 안정적 출력 보장
초정밀 팁 : 치주낭 깊은 곳까지 접근 가능

페리오클린 항생 연고 치료
미노사이클린 성분의 국소 항생제로 잇몸 깊은 곳에 직접 주입하여 치료
임상 검증 : 국내외 여러 연구팀의 임상시험으로 효과 인증
일주일 지속 : 한 번 주입으로 약효가 일주일간 유지
세균 감소 : Red Complex 세균 87.5% → 12.5%로 감소

4단계 통증 완화 시스템
"치과 치료가 이렇게 편할 수도 있구나"
많은 환자분들이 놀라하는 단계별 통증 차단 시스템
가글 마취 : 입안 전체를 마취액으로 가글하여 1차 둔감화
도포 마취 : 주사 부위에 마취 연고 도포로 2차 차단
통증 완화 전동마취기 : 컴퓨터 제어로 일정 속도로 통증 완화 주입
신경관마취기 : 깊은 부위가지 완벽한 통증 차단
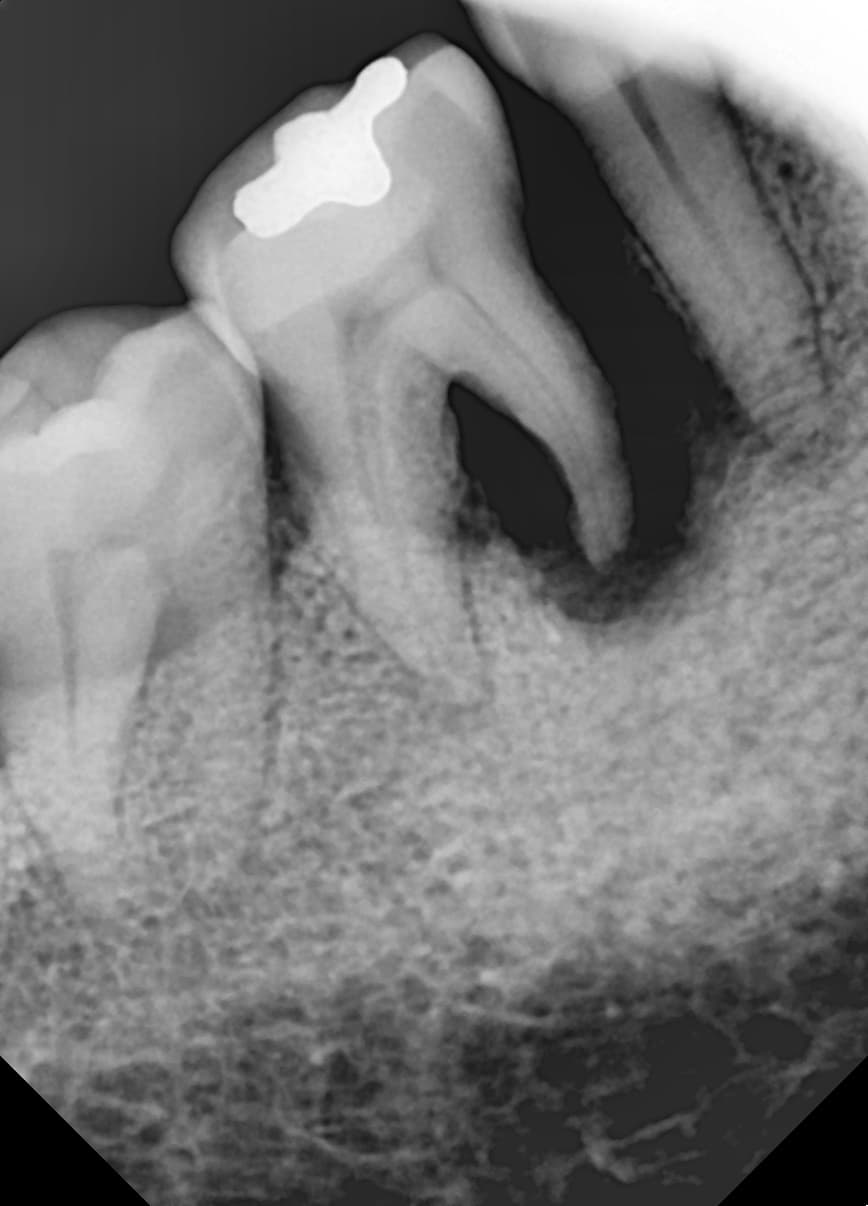
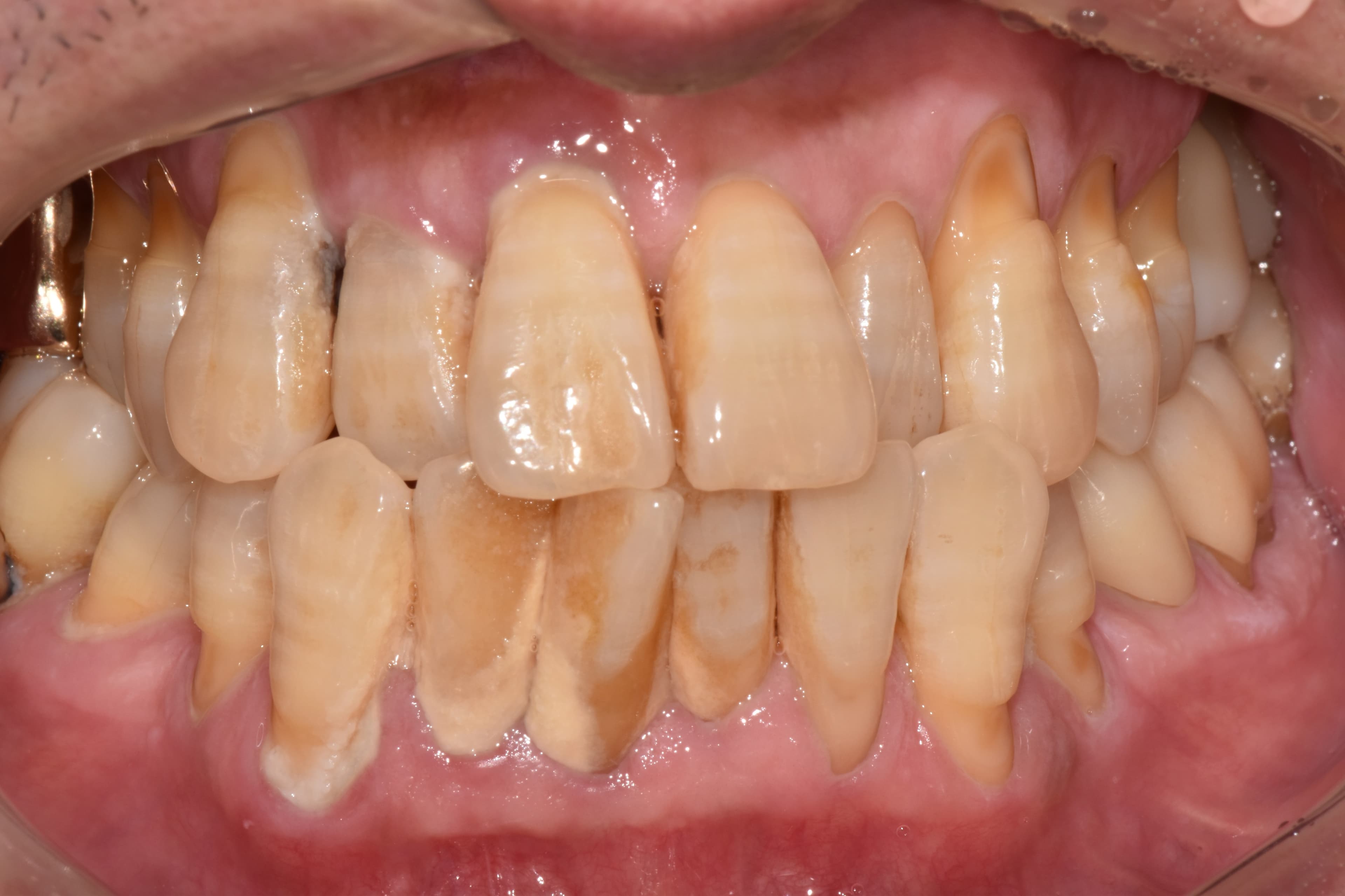
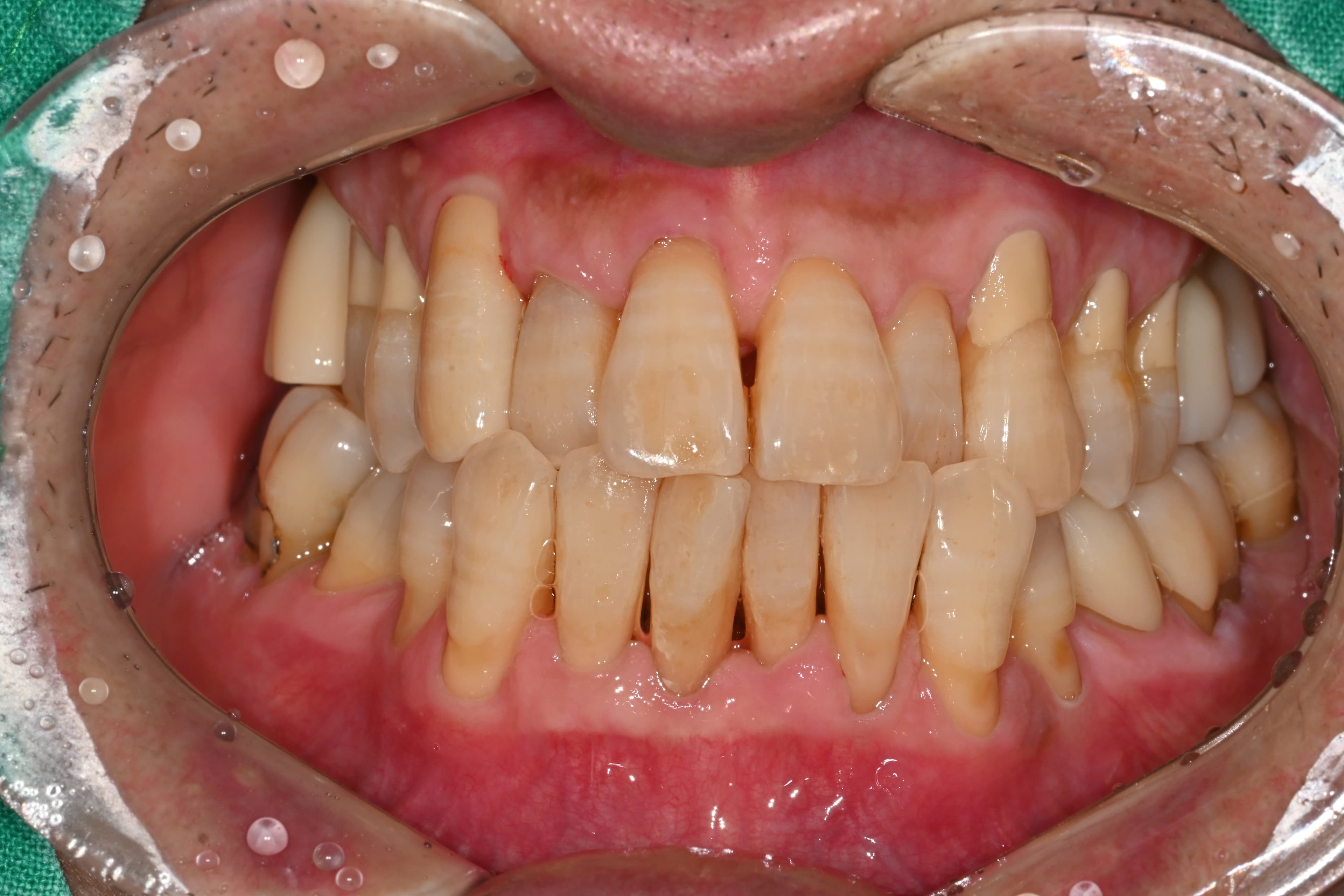
실제 치료 사례
정기적인 잇몸 치료로 임플란트 없이 건강한 치아 유지
"뼈가 심하게 녹았는데
잇몸치료로 뼈가 차올랐어요"

Before

After
심한 잇몸병으로 뼈가 많이 녹은 상태
잇몸치료와 뼈이식으로 뼈 재생 후 임플란트 식립
"정기적인 관리 덕분에
50대에도 모든 치아가 건강해요"

Before

After
치석과 잇몸 염증이 심했던 상태
정기적인 스케일링과 관리로 건강하게 유지
통합치의학전문의 이동현 원장
고덕퍼스트치과
최고의 의료진

이동현
대표원장치의학 석사
통합치의학과 전문의(보건복지부 인증)
- 조선대학교 치과병원 외래교수
- 서울대학교 치의학대학원 임플란트 치의학 우수상 수료
- 서울대학교 치의학대학원 고급치의학 수료
- 서울 경기고등학교 졸업
- 경기고등학교 동문치과
- 대한통합치의학 학회 정회원
- 오스템, 포인트, 덴티스 임플란트 연구자문위원
- Pennsylvania univ. 근관치료과정 수료
- ATC Implant Advanced 과정 수료
- KAYA 치과병원 Prosthetic Course 수료
- JPDA 소아치과 임상연수회 수료
- 턱관절장애교육연구회 수료
- 전) 이편한세상치과 원장
- 전) 퍼스트인치과 원장

고덕퍼스트치과가
최고인 이유
1
보건복지부 인증
통합치의학과 전문의
대표원장이 직접 상담, 수술, 사후관리까지 책임집니다

2
오스템, 포인트, 덴티스
임플란트 연구자문위원
국내 대표 임플란트 기업의 연구자문위원으로 활동하며
최신 기술과 장비를 직접 활용합니다

3
최신 디지털 장비 완비
3D CT, 디지털 스캐너, 디지털 가이드 수술 시스템 등
최첨단 장비로 정밀한 진료를 제공합니다




병원 시설








경기 평택시 고덕로 250 에듀스카이 4층 401, 402호
진료시간
예약 문의
하단 버튼을 통해 AI 예약, 전화 상담, 또는 네이버 예약을 이용하실 수 있습니다.
자주 묻는 질문
스케일링만 받으면 충분하지 않나요?
스케일링은 치석 제거의 첫 단계입니다. 하지만 잇몸질환이 진행된 경우, 특수장비로 잇몸 깊숙한 세균까지 제거하는 정밀 치료가 필요합니다. 6개월 간격으로 잇몸치료를 받으시면 자연치아를 오래 보존할 수 있습니다.
잇몸치료가 아프다던데 괜찮을까요?
걱정하지 마세요. 통증 완화 마취 시스템을 갖추고 있어 불편함 없이 치료받으실 수 있습니다. 많은 환자분들이 "치과 치료가 이렇게 편할 수도 있구나"라고 놀라워하십니다.
얼마나 자주 받아야 하나요?
기본 스케일링은 연 1회(보험 적용), 잇몸치료는 6개월마다 받으시는 것이 이상적입니다. 잇몸 상태가 심한 경우 3개월 간격으로 관리하시면 더욱 효과적입니다. 정기적인 관리로 임플란트 없이도 자연치아를 평생 사용하실 수 있습니다.
보험 적용은 어떻게 되나요?
스케일링은 연 1회 건강보험이 적용됩니다. 잇몸치료가 필요한 경우에는 보험 적용을 받으실 수 있으며, 나누어서 진행됩니다. 자세한 보험 적용 범위는 상담을 통해 안내해드립니다.
왜 다른 치과는 잇몸치료를 안 하려고 하나요?
솔직히 말씀드리면, 잇몸치료보다 임플란트가 수익이 더 좋기 때문입니다. 또한 잇몸치료 후 결국 발치하게 되면 환자분들의 불만이 생길 수 있어 많은 치과가 꺼립니다. 하지만 저희는 자연치아 보존을 최우선으로 하며, 통합치의학전문의의 정밀 진료로 높은 성공률을 자랑합니다.