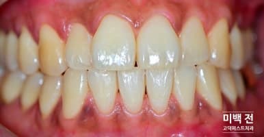
“
당신의 치아색은
안녕하신가요?
아래와 같은 습관들이 계속되면
치아는 누렇게 변색됩니다
커피
매일 마시는 커피가 치아를 누렇게 만들어요
흡연
니코틴과 타르가 치아 변색의 주범입니다
와인
레드 와인의 탄닌이 치아에 착색을 일으켜요
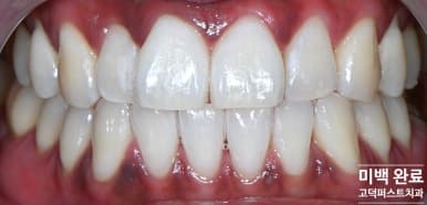
치과 전문가 미백
과산화수소 미백
의료용 고농도 미백제로
안전하고 효과적인 미백을 경험하세요
오스템 뷰티스(Beautis) 미백 시스템
국내 1위 임플란트 기업 오스템의 프리미엄 전문가용 미백 시스템


뷰티스 15 미백제: 15% 과산화수소 + 특수활성제로 빠른 미백 효과
뷰티스 라이트: 고강도 LED 광선(150-220mW/㎠)으로 미백 효과 극대화
지각과민 방지제 함유: 시림 증상을 최소화하는 안전한 처방
시술 원리
의료용 고농도 과산화수소(15%)가 치아 에나멜질을 투과하여 상아질 내부의 착색 분자를 산화·분해시킵니다
이 과정에서 착색 물질이 무색의 작은 분자로 변환되어 자연스럽게 하얀 치아가 됩니다

시술 과정
1
잇몸 보호제 도포 (잇몸 손상 방지)
2
고농도 미백제 도포
3
LED 광선 조사 (15-20분)
4
2-3회 반복 (당일 완료)
5
불소 도포로 마무리
치아 삭제 ZERO
에나멜질 손상 없음
즉각적인 효과
시술 직후 2-8단계 밝아짐
자연스러운 색상
본래 치아색의 톤업
왜 전문가 미백이어야 할까요?
전 세계 치과의사가 인정한 안전성
미백치료는 전 세계 치과의사들이 인정한 가장 안전한 치아치료 방법입니다. 많은 연구와 임상에서 안전성이 입증되었으며, 치과의사 모니터링 하에 진행되는 전문가 미백은 현재까지 치아에 미치는 부작용이 거의 보고되지 않았습니다.
전문가 미백
셀프 미백
15% 고농도
식약처 허가 의료용
1-4% 저농도
효과 미미
하루 만에
3-4단계 밝아짐
4주 이상
서서히 미미한 효과
사전 구강 검진
+ 불소도포 처치
자가 시술
잇몸 화상 위험
체계적인 부작용 관리
시술 전 검진: 충치, 잇몸 질환 확인 후 안전하게 진행
잇몸 보호: 의료용 보호제로 연조직 화상 100% 예방
시술 후 관리: 불소도포·재광화 처치로 시림 증상 최소화
전문의 모니터링: 실시간 상태 확인으로 안전한 미백
풍부한 임상 경험
1,000건 이상의 미백 시술 경험으로 다양한 치아 상태에 대한 노하우를 보유하고 있습니다. 착색 정도, 치아 민감도, 기존 보철물 등을 고려한 맞춤형 미백 계획을 수립합니다.
자주 묻는 질문
Laminate
고덕퍼스트치과의
무삭제·최소삭제 라미네이트
디지털 정밀 제작으로 자연스러운 미소를
만들어드립니다
라미네이트란?
0.3~0.7mm 두께의 얇은 세라믹(포세린) 조각을 치아 앞면에 부착하는 시술입니다. 손톱에 네일아트를 하듯, 치아에 '영구적인 미백 코팅'을 씌운다고 생각하시면 됩니다.
치아 삭제 없음
무삭제 또는 최소삭제(0.3mm)로 자연 치아 보존
자연스러운 색상
VITA MARK II 세라믹 — 치아와 가장 유사한 강도와 투명도
정밀 맞춤 제작
디지털 스캔 데이터 기반으로 오차 없는 핏
고덕퍼스트치과의 전문성
통합치의학과 전문의 직접 시술
심미 결과를 사전에 디지털 시뮬레이션으로 확인 후 진행
얼굴형·피부톤에 어울리는 자연스러운 미소 디자인
시술 후 불편함 최소화, 즉각적인 수정 가능
디지털 3D 스캔
불편한 본뜨기 없이 정밀 데이터 채득
VITA MARK II 세라믹
자연 치아와 가장 유사한 강도와 색상
최소삭제 무삭제 시술
치아 손상을 최소화하여 자연치아 보존
집에서 하는 셀프 미백과
치과 전문가 미백의 차이점
치과에서 사용하는 미백제는 의약품으로 분류되는
고농도 과산화수소를 사용합니다
잇몸에 닿으면 손상될 수 있어 전문가가
완벽한 보호 조치한 후 시술하므로 훨씬 안전하며
즉각적인 효과를 볼 수 있습니다
셀프 치아 미백
저농도 미백제
일반의약품으로 효과가 제한적
느린 효과
수주에서 수개월 소요
안전성 위험
잘못 사용 시 잇몸 손상 가능
불균일한 결과
고르지 못한 미백 효과
치과 전문가 미백
고농도 의약품
전문 과산화수소로 강력한 효과
즉각적인 효과
1-3시간 내 확실한 변화
완벽한 안전성
잇몸 보호 조치로 손상 방지
균일한 미백
전문가의 정밀한 시술
어떤 시술이
나에게 맞을까요?
두 가지 옵션을 비교해보세요
미백 옵션 비교
| 과산화수소 미백 | 라미네이트 | |
|---|---|---|
| 시술시간 | 1-2시간 (당일 완료) | 2-3회 방문 (1-2주) |
| 지속시간 | 1-2년 (관리 시 연장) | 10-15년 (반영구) |
| 치아삭제 | 없음 (0mm) | 최소삭제 (0.3mm) |
| 가격대 | 20-30만원 (전체) | 개당 50-80만원 |
| 추천대상 | 자연스러운 미백 원하는 분 | 완벽한 치아 원하는 분 |
| 주의사항 | 24시간 색소 음식 주의 | 딱딱한 음식 주의 |
통합치의학전문의 이동현 원장
고덕퍼스트치과
최고의 의료진

이동현
대표원장치의학 석사
통합치의학과 전문의(보건복지부 인증)
- 조선대학교 치과병원 외래교수
- 서울대학교 치의학대학원 임플란트 치의학 우수상 수료
- 서울대학교 치의학대학원 고급치의학 수료
- 서울 경기고등학교 졸업
- 경기고등학교 동문치과
- 대한통합치의학 학회 정회원
- 오스템, 포인트, 덴티스 임플란트 연구자문위원
- Pennsylvania univ. 근관치료과정 수료
- ATC Implant Advanced 과정 수료
- KAYA 치과병원 Prosthetic Course 수료
- JPDA 소아치과 임상연수회 수료
- 턱관절장애교육연구회 수료
- 전) 이편한세상치과 원장
- 전) 퍼스트인치과 원장

고덕퍼스트치과가
최고인 이유
1
보건복지부 인증
통합치의학과 전문의
대표원장이 직접 상담, 수술, 사후관리까지 책임집니다

2
오스템, 포인트, 덴티스
임플란트 연구자문위원
국내 대표 임플란트 기업의 연구자문위원으로 활동하며
최신 기술과 장비를 직접 활용합니다

3
최신 디지털 장비 완비
3D CT, 디지털 스캐너, 디지털 가이드 수술 시스템 등
최첨단 장비로 정밀한 진료를 제공합니다




병원 시설








경기 평택시 고덕로 250 에듀스카이 4층 401, 402호
진료시간
예약 문의
하단 버튼을 통해 AI 예약, 전화 상담, 또는 네이버 예약을 이용하실 수 있습니다.

