GODUK FIRST DENTAL
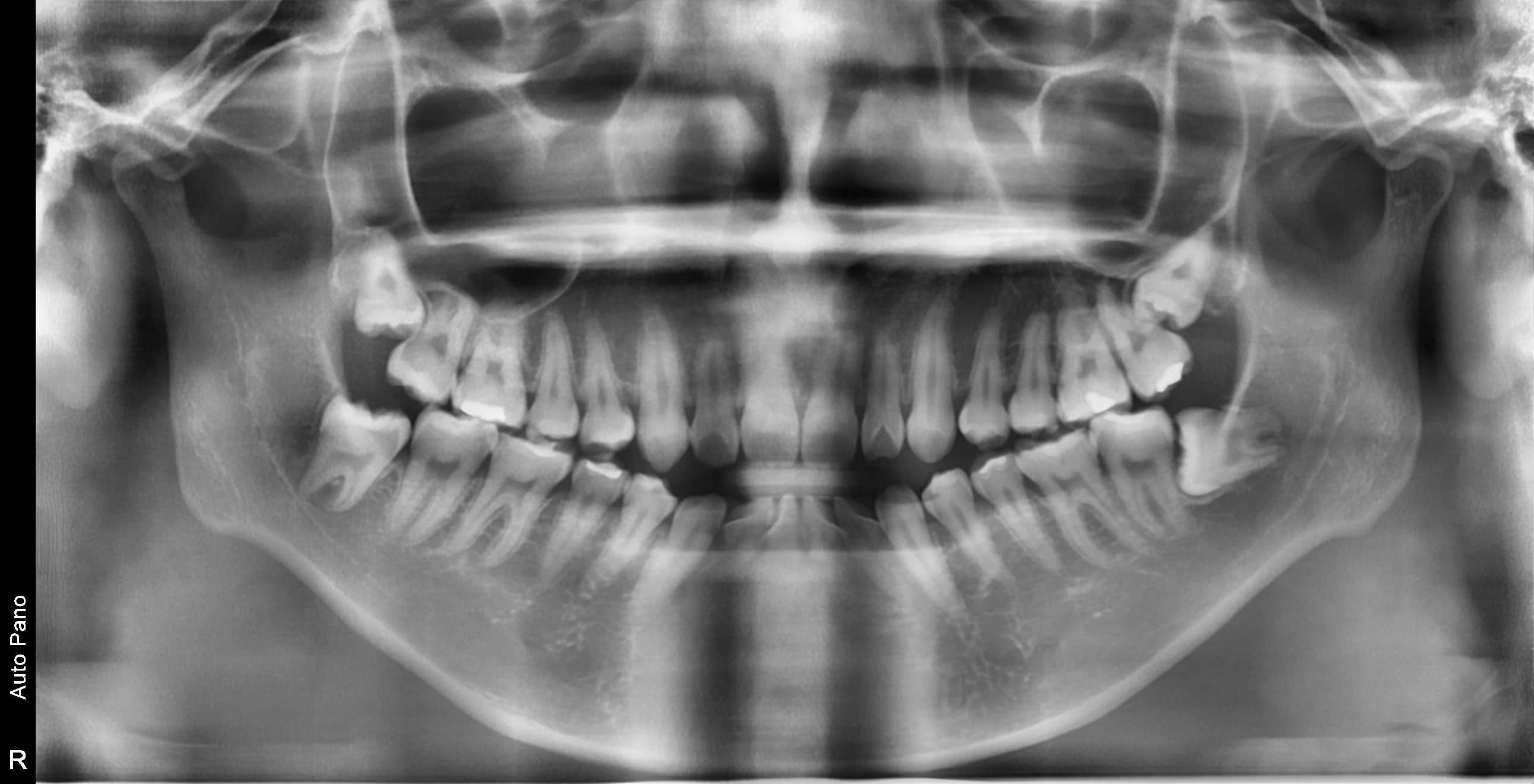
모든 타입의 사랑니,
저희는 다 경험했습니다
대학병원 외래교수 역임 원장이
어떤 어려운 케이스도 안전하게 발치합니다
누적 사랑니 발치
부작용으로 인한 재치료 건수
상급병원 전원률
오히려 다른 병원에서
어려운 케이스를 저희에게 보냅니다
WHY GODUK FIRST
대학병원 외래교수 역임 원장이
직접 발치합니다
사랑니 발치의 모든 것
이 영상에서 다 알려드려요
사랑니 발치 시기, 방법, 주의사항까지
모든 정보를 자세히 설명해 드립니다
영상 준비 중
고덕퍼스트치과 사랑니 발치 영상이 곧 업로드됩니다
“
예고없이 찾아왔어요 사랑니 통증...
평온할 때 미리 해결하면 중요한 순간을 지킬 수 있습니다

군복무
군대에서 갑자기 아프면 처리 곤란

시험 기간
중요한 시험 전날 갑작스런 통증

결혼 · 면접
인생의 중요한 날 얼굴이 부어서...

여행 · 출장
해외 응급실 비싼 치료비
사랑니로 인해 발생할 수 있는 증상
사랑니가 자라는 형태나 장치 등으로 인해 여러 증상이 나타날 수 있습니다
누운 사랑니
옆으로 누워 자라며 옆 치아를 압박할 수 있습니다
염증 발생
방치된 사랑니로 인해 잇몸이 붓고 염증이 생길 수 있습니다
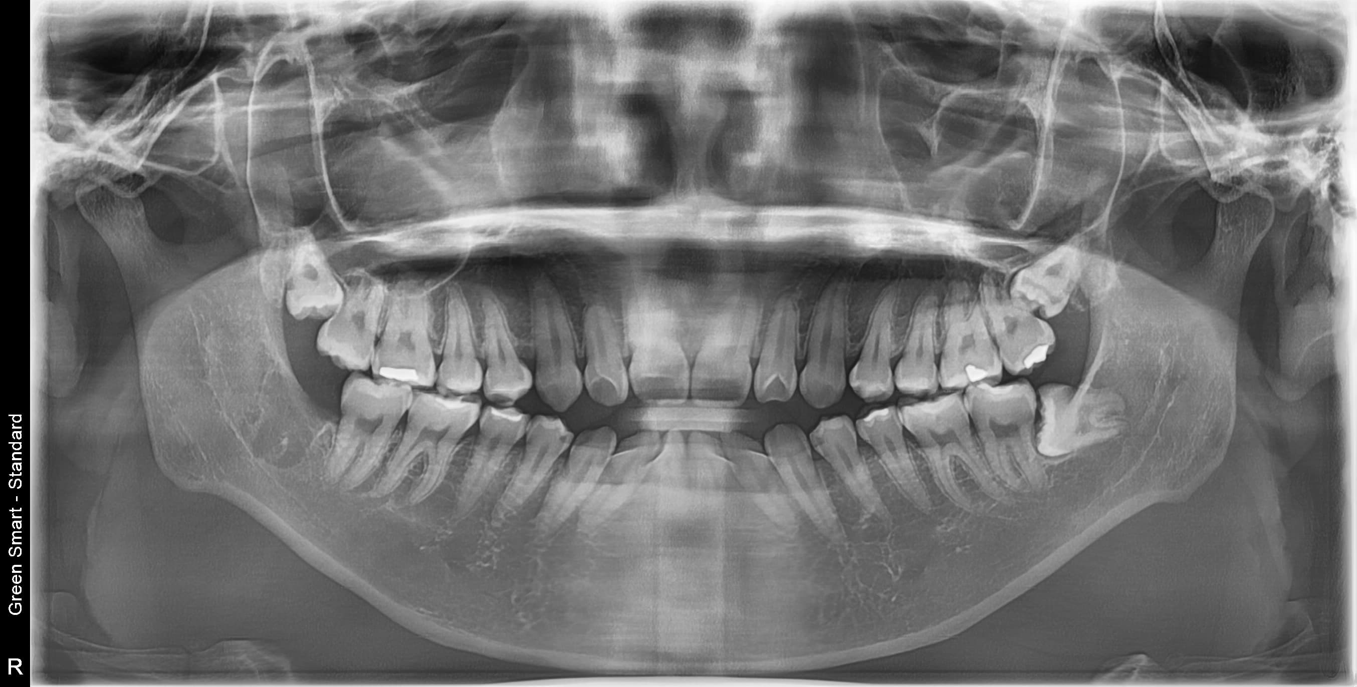
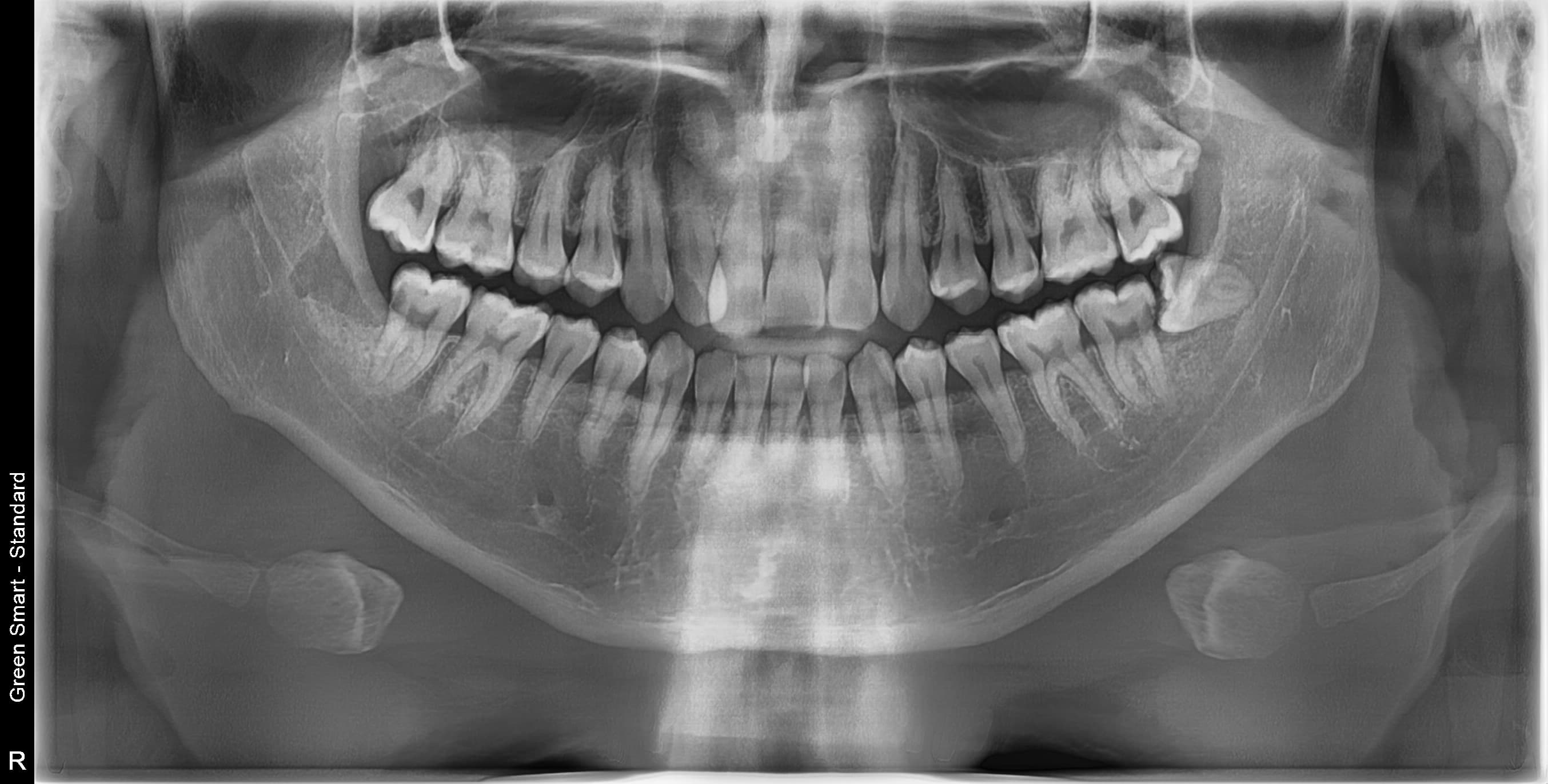
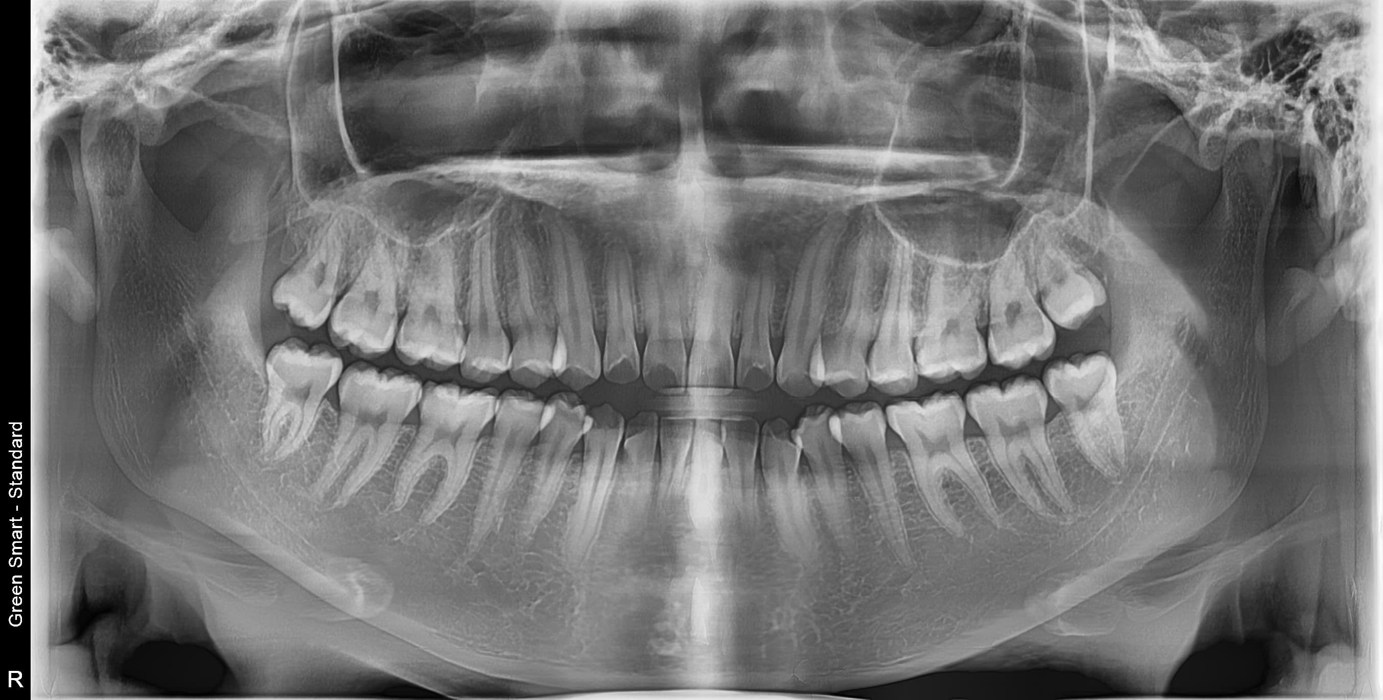
사랑니 상태별 위험도

Before

After
저위험
정상 사랑니
정상적으로 자란 사랑니도 관리가 어려워 충치 위험이 높습니다

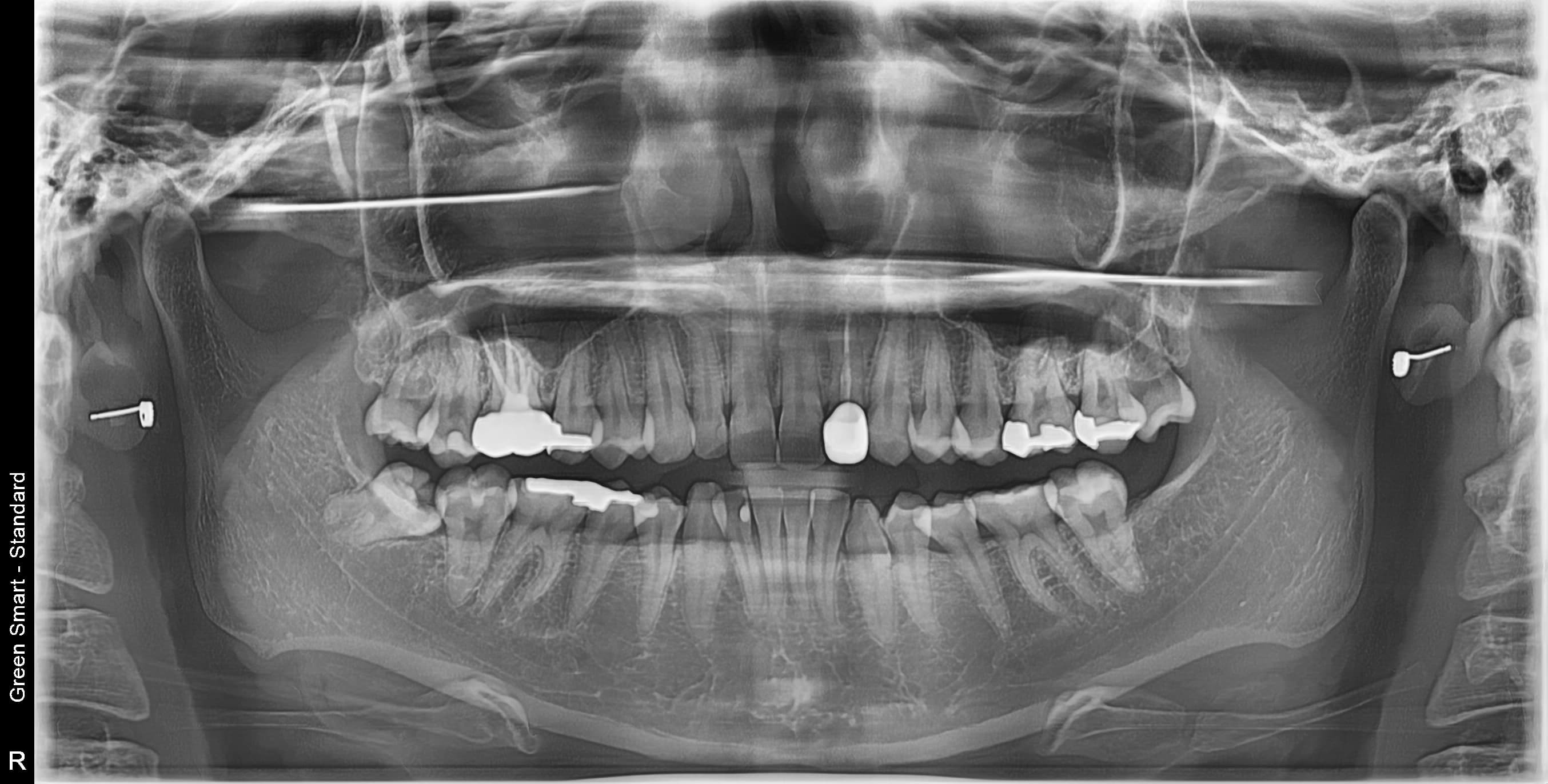
Before

After
중위험
부분매복 사랑니
음식물이 끼기 쉽고 염증이 자주 발생합니다

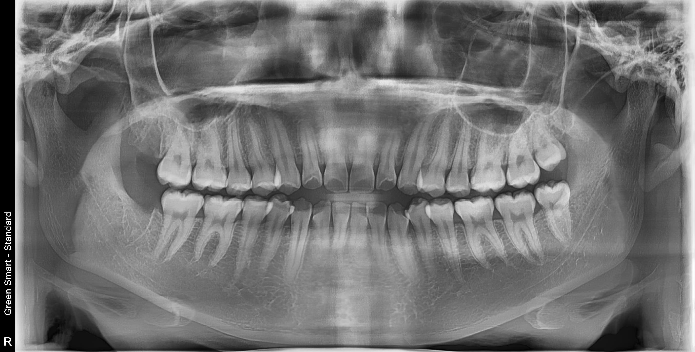
Before

After
고위험
완전매복 사랑니
낭종 형성 가능성이 있어 조기 발치가 필요합니다

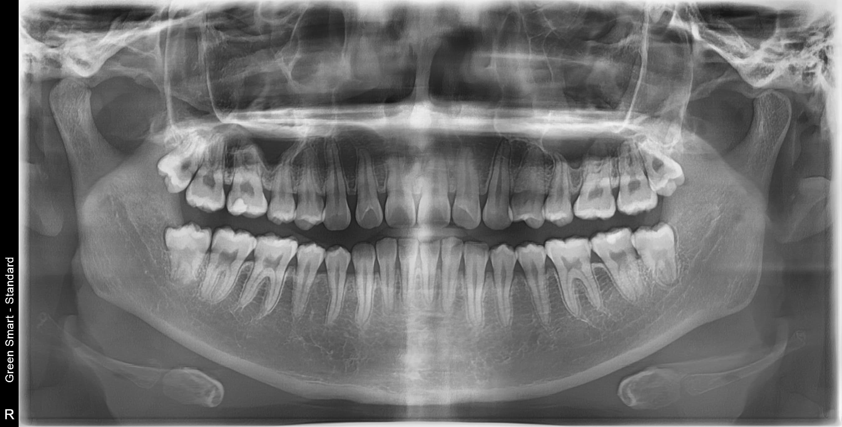
Before

After
고위험
치근만곡 사랑니
뿌리가 구부러져 있어 발치 난이도가 높습니다

Before

After
즉시 처치 필요
수평매복 사랑니
앞 치아를 밀어 치열 불균형과 충치를 유발합니다
PAINLESS & PRECISE
안 아프고
정확하게 뽑습니다
대학병원 외래교수 역임 원장의
체계적인 3단계 통증 제로 시스템
도포 · 가글 마취
주사 바늘의 따끔함부터 없앱니다. 표면 마취로 마취 주사 자체의 통증을 최소화합니다.
전동 무통 마취기
컴퓨터가 자동으로 주입 속도를 조절해 마취액이 천천히, 균일하게 들어가 통증이 거의 없습니다.
의식하 진정요법 (수면마취)
극도로 긴장하시는 분은 수면마취로 편안하게 진행합니다. 자는 사이에 끝나고 기억도 흐릿합니다.
의식하 진정요법이란?
전신마취가 아닌 안전한 수면 유도
약간 졸린 상태에서 시술을 받고, 시술 중 일어난 일을 잘 기억하지 못하게 되는 치료법입니다. 의식이 유지되어 안전하고, 치과 공포증이 있으신 분도 편안하게 받으실 수 있습니다.
대학병원급 난이도 발치
일반 치과에서
"큰 병원 가보세요" 들어보셨나요?
복잡한 매복 사랑니 — 잇몸 속 깊이 묻혀있어도 OK
신경 근접 사랑니 — 신경 손상 걱정 없는 안전한 발치
수평 매복 사랑니 — 옆으로 누워있는 어려운 케이스도 가능
조선대 치과병원 외래교수 역임 원장이
직접 안전하게 해결합니다
치과 치료,
아프지 않을까요?
의식하진정요법으로
자면서 치료받으세요
의식하진정요법이란?
약간 졸린 듯한 상태에서 시술을 받게 되고, 시술하는 동안 일어난 일들을 잘 기억하지 못하게 되는 치료법입니다.
의식이 있는 상태에서 편안하게 긴장상태를 풀어주기 때문에 치료 중에도 자신의 상태를 표현하고 반응할 수 있어 그만큼 안전합니다.
안전성
의식이 유지된 상태에서 시술
전문의가 혈압, 맥박, 산소포화도 체크
세계적으로 인정된 약물 사용
전신마취가 아니므로 후유증과 부작용이 현저히 낮음
언제든 깨어날 수 있게 해주는 역전약물 구비
치과치료 중 공포와 불안으로 인한 갑작스러운 움직임을 미연에 방지
편안함
간단한 주사로 진정요법이 가능
시술이 끝나면 시술 중 편안한 느낌만 남음
편안하고 안정된 기억만 남아 치과치료에 자신감이 생김
비용 부담이 적고 간단하게 시술 가능
💡 아무나 할 수 없는 특별한 치료
의식하진정요법은 단순한 치료가 아닙니다. 전문 교육을 이수한 의료진과 환자 모니터링 장비, 응급장비 등이 갖춰진 치과에서만 시행할 수 있는 전문적인 치료법입니다.

환자 모니터링 장비
마취 진행 과정
도포/가글마취
마취 전 주사 바늘의 통증을
없애기 위한 표면 마취
통증완화 전동마취기
컴퓨터가 자동으로 주입 속도를 조절하여
통증을 최소화
신경관마취기
신경 가까이 직접 마취하여
완벽한 통증 완화 치료 완성
왜 지금 발치해야 할까요?
사랑니 방치 시 발생하는 문제
급성 염증
심한 통증과 얼굴 부종
인접 치아 충치
옆 치아까지 손상
턱관절 장애
만성 두통과 턱 통증
치열 불균형
교정 치료 필요
조기 발치의 장점
빠른 회복
젊을수록 회복 속도가 빠름
합병증 예방
염증 없을 땐 안전
비용 절감
문제 발생 전 처치
편안한 시술
연증 없어 마취가 잘 됨
참다참다 응급실 가시는 분들이 많아요
염증이 심해져서 새벽에 응급실을 찾는 환자분들이 매주 계십니다 미리 발치하면 이런 고통을 예방할 수 있습니다
통합치의학전문의 이동현 원장
고덕퍼스트치과
최고의 의료진

이동현
대표원장치의학 석사
통합치의학과 전문의(보건복지부 인증)
- 조선대학교 치과병원 외래교수
- 서울대학교 치의학대학원 임플란트 치의학 우수상 수료
- 서울대학교 치의학대학원 고급치의학 수료
- 서울 경기고등학교 졸업
- 경기고등학교 동문치과
- 대한통합치의학 학회 정회원
- 오스템, 포인트, 덴티스 임플란트 연구자문위원
- Pennsylvania univ. 근관치료과정 수료
- ATC Implant Advanced 과정 수료
- KAYA 치과병원 Prosthetic Course 수료
- JPDA 소아치과 임상연수회 수료
- 턱관절장애교육연구회 수료
- 전) 이편한세상치과 원장
- 전) 퍼스트인치과 원장

고덕퍼스트치과가
최고인 이유
1
보건복지부 인증
통합치의학과 전문의
대표원장이 직접 상담, 수술, 사후관리까지 책임집니다

2
오스템, 포인트, 덴티스
임플란트 연구자문위원
국내 대표 임플란트 기업의 연구자문위원으로 활동하며
최신 기술과 장비를 직접 활용합니다

3
최신 디지털 장비 완비
3D CT, 디지털 스캐너, 디지털 가이드 수술 시스템 등
최첨단 장비로 정밀한 진료를 제공합니다




병원 시설








경기 평택시 고덕로 250 에듀스카이 4층 401, 402호
진료시간
예약 문의
하단 버튼을 통해 AI 예약, 전화 상담, 또는 네이버 예약을 이용하실 수 있습니다.
자주 묻는 질문
사랑니 발치, 꼭 해야 하나요?
통증이 없어도 잇몸 속에서 염증, 충치, 치열 불균형을 일으킬 수 있습니다. 3D CT로 정밀 진단 후 필요 여부를 판단하며, 미리 뽑지 않으면 급성 염증, 인접 치아 손상, 턱관절 장애 등의 문제가 발생할 수 있습니다. 젊을수록 회복이 빠르고 합병증 위험이 적습니다.
난이도 높은 사랑니도 뽑을 수 있나요?
네, 가능합니다. 고덕퍼스트치과는 풍부한 발치 경험과 대학병원급 난이도 발치가 가능한 시스템을 갖추고 있습니다. 수평매복, 완전매복 등 일반 치과에서 큰 병원을 권유하는 어려운 케이스도 3D CT 정밀 진단으로 안전하게 발치합니다.
사랑니 발치, 아프지 않나요?
최신 통증 완화 마취 시스템으로 시술 중 통증을 거의 느끼지 못합니다. 불안하신 분은 의식하진정요법(수면마취)으로 편안하게 시술받으실 수 있습니다. 시술 후 붓기와 통증은 처방된 약으로 충분히 관리 가능하며, 젊을수록 회복이 빠릅니다.
사랑니 발치 후 주의사항이 있나요?
발치 후에는 뜨겁고 자극적인 음식을 피하고, 부드러운 음식을 드세요. 2-3일간 심한 운동과 사우나는 피하시고, 처방받은 항생제와 소염제를 규칙적으로 복용하세요. 거즈는 30분-1시간 정도 깨물고, 과도한 양치나 빨대 사용은 피해주세요. 자세한 관리 방법은 시술 후 안내해 드립니다.
사랑니 발치, 빠른 진료 가능한가요?
3D CT 촬영과 진단 후 즉시 발치가 가능합니다. 원스톱 진료 시스템으로 진단부터 발치, 사후 관리까지 한 번의 방문으로 완료됩니다. 다만 염증이 심한 경우 소염 치료 후 발치하는 것이 안전하며, 개인의 구강 상태에 따라 의료진이 최적의 시기를 안내해 드립니다.